Не надо ничем травить. Раз пошли размножаться зелёные, не надо им мешать вытеснять динофлагелляты. Это может занять время, но как правило лучше стимулировать желательные формы жизни, чем подавлять нежелательные. Особенно сильнодействующими средствами.
Нужна помощь в определении вида дино
#41
Отправлено 17 Июль 2023 - 18:02
#43
Отправлено 17 Июль 2023 - 18:16
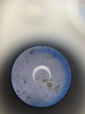
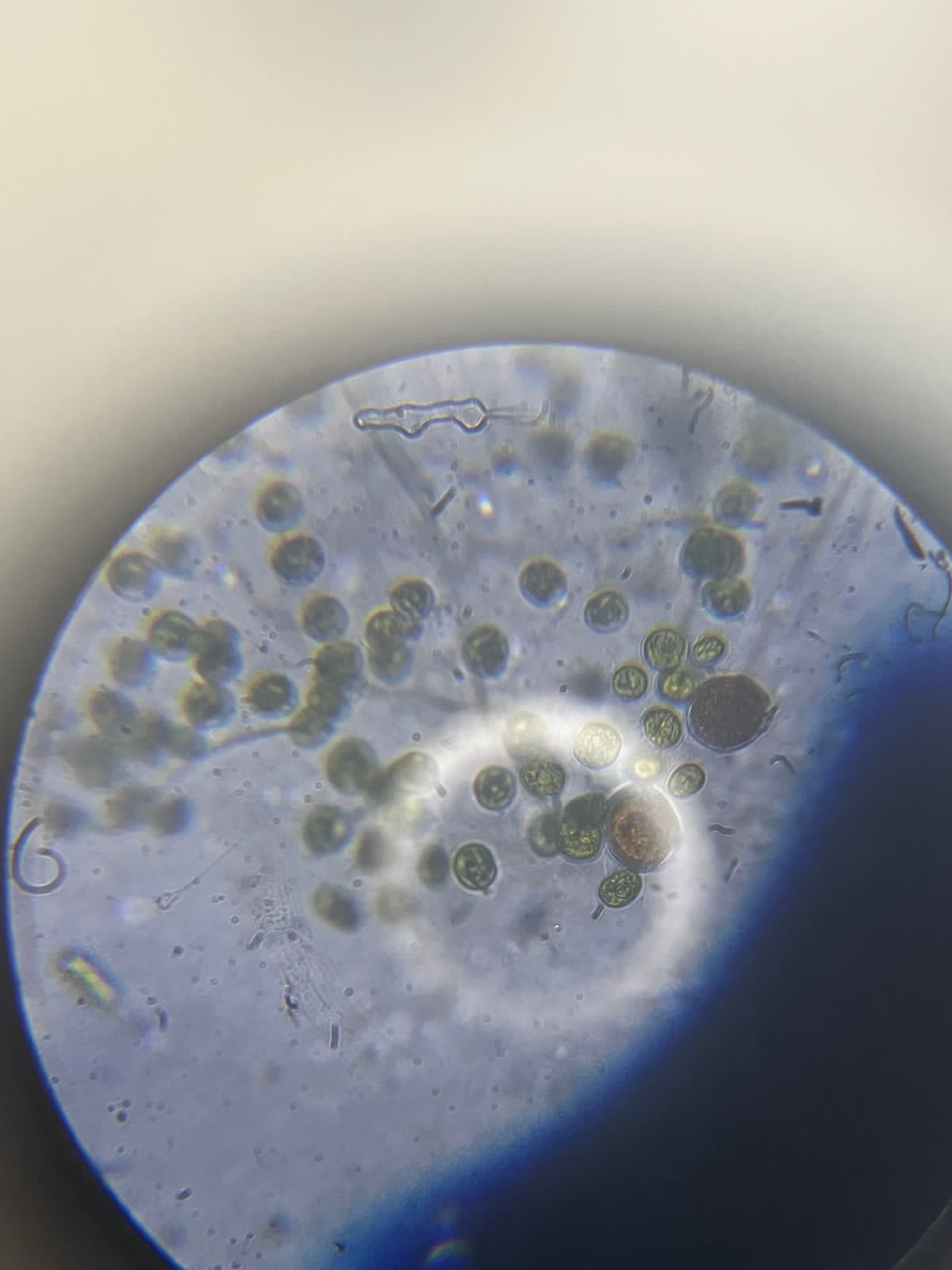
Вроде всё те же Coolia sp. Правда, в виде цист. Микронный фильтр работает? Можно вместо сифонки ежедневно ворошить и продувать грунт, чтобы ускорить вымывание цист. Но только при работающем микронном фильтре и какой-нибудь механикой перед ним, чтобы не забивался сразу же.
#44
Отправлено 17 Июль 2023 - 19:37
Вроде всё те же Coolia sp. Правда, в виде цист. Микронный фильтр работает? Можно вместо сифонки ежедневно ворошить и продувать грунт, чтобы ускорить вымывание цист. Но только при работающем микронном фильтре и какой-нибудь механикой перед ним, чтобы не забивался сразу же.
Синтепон подойдёт? У меня рюкзак, даже и не знаю куда ставить микронный фильтр, в одном отделе губка стоит
#45
Отправлено 17 Июль 2023 - 20:27
В маленьком аквариуме я вешал колбу снаружи на борт, только помпа на 500 л/ч была внутри. Обязательно убедиться, что прокладка не смялась и вода не сочится из-под крышки. Если помпа без всасывающего патрубка, её можно всю обернуть синтепоном в качестве предфильтра.
Количество пользователей, читающих эту тему: 1
0 пользователей, 1 гостей, 0 анонимных











